A new method for measuring bone marrow lesions for pain research in people with osteoarthritis

Full reference: Koushesh, S, Shahtaheri, SM, McWilliams, DF, Walsh, DA, Sheppard, MN, Westaby, J, Haybatollahi, SM, Howe, FA, Sofat, N. The osteoarthritis bone and cartilage score (OABS): a new histological scoring system for the characterisation of bone marrow lesions in osteoarthritis. Osteoarthritis Cart., 2022; 30(5):746-55; doi.org/10.1016/j.joca.2022.01.008
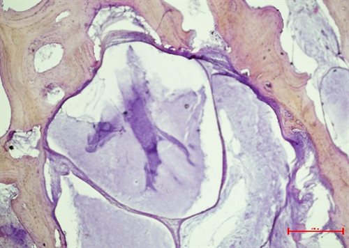
Within the bones of people with osteoarthritis there are often regions called Bone Marrow Lesions (BMLs) which are seen using MRI scanners. They appear to be linked to inflammation and pain. When BMLs are close to the knee joint, they appear to be closely related to osteoarthritis knee pain. Joint tissues are very useful for research aiming to characterise cells and molecules that might be targeted by new drugs in order to relieve pain. MRI scans are not often available for joints used in research. In this study, scientists from the Pain Centre Versus Arthritis and St Georges University, London collaborated to try and find a new method to detect and measure BMLs in knee joints from people with osteoarthritis.
An MRI scanner was used to find BMLs inside the tibia from the bone just below the knee in 10 osteoarthritis subjects. Samples were taken of the tissues from within the bone, and samples from BML regions were compared to regions without BMLs. Laboratory analysis, using chemical stains and microscope-based investigations were used to look at what was found within a BML.
We previously found that BMLs were small regions that often contained inflammation, scarring, thickened bone, extra blood vessels, cysts, and newly formed cartilage. We were able to devise a simple scoring system based on anatomical features of BMLs that could be used for future research projects to assess BMLs in joint tissues. We tested this scoring system on 163 samples with and without osteoarthritis and found that measuring the anatomical features of BMLs is a useful tool for future research. We also found nerves growing within the BMLs which might be the cause of some osteoarthritis knee pain.
Our new scoring system is called the Osteoarthritis Bone Score, and should be a valuable tool for future studies into BMLs and pain. Research studies can now be performed on samples that have been collected without the need for MRI scanning, opening up the possibility of much larger studies in different settings, and a more detailed exploration of the cells and molecules that cause osteoarthritis pain.
Find out more on Bone Marrow Lesions in our related Brief Review.