Structural Biology

Bernard Soulier Syndrome - clinical aspects

  

Introduction:

What is Bernard Soulier Syndrome?

Bernard Soulier Syndrome (BSS), is a rare inherited bleeding disorder affecting the megakaryocyte/platelet cell line. It is typically characterized by an increased bleeding tendency, giant platelets and thrombocytopenia. (Lanza, 2006, Berndt and Andrews, 2011). 

Incidence:

BSS is a rare condition with only about 100 cases being reported in published medical literature. The estimated prevalence is less than one in a million with cases particularly occurring in European, Japanese and American populations. However, due to misdiagnosis and underreporting, the prevalence is realistically likely to be higher than this (Lanza, 2006, Mhawech and Saleem, 2000).    

Discovery of the Disease:

In 1948, two French haematologists Jean Bernard and Jean-Pierre Soulier discovered Bernard Soulier Syndrome. They explained an incident in which a girl had haemorrhaged to death while her younger brother experienced abnormal bleeding since birth. They found that the young boy had large platelets that did not adhere effectively to the blood vessel walls (CHS, 2008).

Clinical Features/Symptoms:

In most cases, Bernard Soulier Syndrome tends to present itself rapidly after birth or in early childhood with abnormal bleeding symptoms.   These manifest most commonly in the form of epistaxis (nose bleeds), ecchymosis (subcutaneous purpura or bruising under the skin), and gingival bleeding (bleeding from the gums)(Pham and Wang, 2007).   Menorrhagia (heavy menstrual flow) tends to be a problem in young women at the time of puberty (CHS, 2008) while gastrointestinal bleeding and hematuria (blood in the urine) occur more rarely. Severe bleeding occurrences are also associated with trauma and surgical procedures. The extent, severity and frequency of bleeding vary between BSS patients and can range from mild to life threatening. However, women suffering from BSS tend to require more attention due to the problem of menorrhagia and extensive bleeding during child birth (Lanza, 2006, Clemetson, 2001).

Laboratory Findings and Diagnostic Methods:

The extent of thrombocytopenia (relative decrease of platelets in blood) in BSS is variable between patients however; the platelet count characteristically ranges from less than 30 to 200 x103/μL. Bleeding time tends to be prolonged ranging from moderate (5-10 minutes) to severe (20 minutes). Clot retraction appears to be normal while platelet survival is shorter than normal (Lanza, 2006, Mhawech and Saleem, 2000). 

A constant characteristic is the presence of a small number of noticeably large platelets with a fairly rounded shape (macrothrombocytopenia). Laboratory tests typically include platelet counts as well as analysis of blood smears (Lanza, 2006).

 

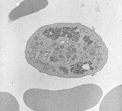
 ImageI

Electron Micrograph - BSS Giant Platelet;
Image provided by Mathieu Fiore, Hôpital Xavier Arnozan, Pessac, Franc

 

 

 
 
 

 

One of the distinctive features of platelets in Bernard Soulier Syndrome is a failure of them to agglutinate in vitro following stimulation with ristocetin. This defect cannot be corrected by the addition of normal plasma, as would be the case in Von Willebrand disease and can therefore, distinguish the two conditions.

Furthermore, while agonists such as ADP, epinephrine and collagen are able to promote normal aggregation of platelets in patients with BSS, a decreased response to thrombin is observed (Lanza, 2006, Pham and Wang, 2007).

Flow cytometry analysis is used, in which specific monoclonal antibodies confirm a defect in the GPIb-IX-V receptor complex. This receptor complex is expressed on the surface of platelets and is responsible for platelet adhesion through interaction with von Willebrand factor on exposed subendothelium.   Flow cytometry indicates significantly reduced amounts of the GPIbα component and in turn of the receptor complex on platelet surfaces, which confirms the diagnosis of BSS (Pham and Wang, 2007, Balduini et al., 2013).

Genetics:

BSS is typically known to be an autosomal recessive condition caused by the occurrence of a biallelic mutation on the GPIBA (the largest subunit with the von Willebrand binding site), GPIBB or GPIX genes which encode the glycoproteins (GP) Ibα, Ibβ and IX respectively (Balduini et al., 2013).

GPIbα, GPIbβ and GPIX are associated with each other and each is necessary for the effective formation of the receptor. The lack of any one of the subunits drastically reduces the expression of the whole receptor complex on the platelet surface (Nurden, 1999)

The mutations that occur can be categorized in to three major classes (Lanza, 2006):

  •     Missense mutations or short in-frame deletions
    These often give rise to an abnormal and unstable receptor complex that has significantly reduced expression on the platelet surface.
  •     Nonsense mutations
    These result in smaller subunits that characteristically lack the transmembrane domain.
  •     Frameshift insertions or deletions 
    These give rise to a new polypeptide sequence and can also result in a premature stop thereby giving rise to an altered protein.

Despite classically being described as a biallelic autosomal recessive disease, it has been recognized that there are cases in which patients are affected by a mild monoallelic autosomal dominant form of BSS. In these cases, laboratory and clinical findings are inadequately suggestive of BSS and the diagnosis can easily be missed (Balduini et al., 2013).

One of the best-investigated cases in this regard is the Bolzano mutation in Italian patients, in which a monoallelic c.515 C>T transition occurs in the GPIBA gene resulting in macrothrombocytopenia (Noris et al., 2011).

Treatment:

The primary therapeutic measure used both for uncontrolled bleeding as well as prophylaxis during surgery is a blood or platelet transfusion however, it should be noted that this is associated with a risk of alloimmunization, that is a risk of developing antiplatelet alloantibodies. Desmopressin and activated factor VIIa (FVIIa) have been shown to reduce bleeding time in some BSS patients. Furthermore, in some rare cases when the disorder is life threatening, bone marrow transplants may be considered. 

BSS patients should also be counseled to avoid aspirin containing medication and other platelet antagonists. They should be aware of the importance of preventing any form of trauma as well as maintaining adequate dental hygiene. Female patients should further be advised to use contraceptives at puberty (Pham and Wang, 2007, Lanza, 2006)

Structural Biology

The University of Nottingham
University Park
Nottingham, NG7 2RD


telephone: +44 (0)115 8467092
email:jonas.emsley@nottingham.ac.uk