Wheat's roots and leaves... a new key to food security

LeafScan
08 Dec 2011 13:00:00.000

PA 381/11

Scientists at The University of Nottingham are expanding their pioneering research into global food security thanks to new technology which allows them to see inside the leaves and roots of plants, and into the soil that feeds them.

The work is at the cutting edge of the one of the University’s research priorities; to increase the efficiency of food production to meet the needs of the steep projected rise in the human global population. Crops like wheat, rice and maize provide over half of the world’s diet which makes research into boosting production vital for future food security.

The scientists have won two major grants totaling £1.63 million in collaboration with colleagues at Sheffield and Southampton Universities. They will use high-powered X-ray Micro-Computed Tomography scanners which allow them to literally see through the soil to investigate how the roots of plants can best absorb water and nutrients, and also how photosynthesis in leaves could be improved.

Click here for full story

In a joint £890,000 project with Sheffield University funded by the Biotechnology and Biological Sciences Research Council (BBSRC), the Nottingham scanners will be used to investigate how photosynthesis in food crops like wheat and rice could be improved by breeding plants with optimum leaf structure.

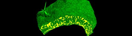
Leading the team at Nottingham, Dr Sacha Mooney said: “There are some really crucial questions that we are trying to answer. What can we do to a plant to enable it to yield better and survive in harsher conditions? And what can we do to the soil to make it better for the plant? Our new technology is a game-changer in that for the first time we can look inside a leaf or a root within the soil and see the living plant in action at a cellular level.”

Professor of Plant Science at the University of Sheffield Andrew Fleming said: “The concentration of carbon dioxide is changing so that plant leaves may no longer have an optimal structure for photosynthesis. We will create new leaves and test their efficiency of photosynthesis to see if we can identify an optimal future leaf design. The eventual aim is to use our knowledge to aid world-wide efforts to improve crops, in particular rice, the staple food for much of humanity.”

The scientists will produce high-resolution 3D images of the leaves of the genetically-mapped model plant Arabidopsis. The scanner can produce images with a pixel resolution of up to ½ micron or 500 nanometres allowing the researchers to measure and observe photosynthesis in action, even in ‘4D’ over a period of time.

The work will inform sophisticated breeding techniques to generate a variety of plants with different leaf structures. The data from the resulting scans will be used to draw conclusions about the leaf structure which is best for photosynthesis without adversely affecting the rate of water loss. The eventual aim is to develop ‘supercrops’ which can thrive in poorer soils and withstand drought and other extreme weather conditions.

A second £740,000 BBSRC grant awarded to the Division in collaboration with scientists at the University of Southampton will use the same technology to scan soil samples and use mathematical modeling to accurately predict how much water roots take up from different soils. The research will also be used to evaluate and compare the performances of different types of root patterns in wheat, a major UK crop.

The teams will use the 3D Micro-CT scanners to examine soil and root micro-structures and to measure water movement in soils and its uptake by wheat. The resulting mathematical models can then be accurately scaled up from micro-scale to field-sized growing environments. The research is aimed at improving soil structure as well as root structure to achieve the optimum interaction between the plant and its habitat.

The scientists will also be working with colleagues at the International Rice Research Institute in the Philippines to see if the data from the laboratory plant can be used to help current research into improving rice varieties.

Champion of Food Security research at The University of Nottingham, Professor Jerry Roberts, said: “These awards are further evidence of the groundbreaking research being carried out at Nottingham to enhance plant growth and development and help optimise the sustainable production of crops.”

Global Food Security is also a key project within the University’s new appeal, Impact: The Nottingham Campaign, which is delivering the University’s vision to change lives, tackle global issues and shape the future.

 

More information is available at: http://tiny.cc/UoNImpact

— Ends —

For up to the minute media alerts, follow us on Twitter at www.twitter.com/UoNPressOffice

Notes to editors:  The University of Nottingham, described by The Sunday Times University Guide 2011 as ‘the embodiment of the modern international university’, has award-winning campuses in the United Kingdom, China and Malaysia. It is ranked in the UK's Top 10 and the World's Top 75 universities by the Shanghai Jiao Tong (SJTU) and the QS World University Rankings. It was named ‘Europe’s greenest university’ in the UI GreenMetric World University Ranking, a league table of the world’s most environmentally-friendly higher education institutions, which ranked Nottingham second in the world overall.

The University is committed to providing a truly international education for its 40,000 students, producing world-leading research and benefiting the communities around its campuses in the UK and Asia. Impact: The Nottingham Campaign, its biggest ever fund-raising campaign, will deliver the University’s vision to change lives, tackle global issues and shape the future. For more details, visit: www.nottingham.ac.uk/impactcampaign

More than 90 per cent of research at The University of Nottingham is of international quality, according to the most recent Research Assessment Exercise, with almost 60 per cent of all research defined as ‘world-leading’ or ‘internationally excellent’. Research Fortnight analysis of RAE 2008 ranked the University 7th in the UK by research power. The University’s vision is to be recognised around the world for its signature contributions, especially in global food security, energy & sustainability, and health.

More news from the University at:

www.nottingham.ac.uk/news

Story credits

More information from: Dr Sacha Mooney, Division of Agricultural and Environmental Sciences, on +44 (0)115 95 16257 sacha.mooney@nottingham.ac.uk 

Additional resources

No additional resources for this article

Related articles

No related articles

Media Relations - External Relations

The University of Nottingham
YANG Fujia Building
Jubilee Campus
Wollaton Road
Nottingham, NG8 1BB

telephone: +44 (0) 115 951 5798
email: pressoffice@nottingham.ac.uk