article

Parasitic disease affecting donkeys is detected in the UK for first time

Friday, 05 June 2020
A chronic and debilitating parasitic equine disease which causes mysterious lesions in the eyes, and skin lumps, has been found in donkeys in the UK for the first time.

The findings of the study, which was carried out by experts from the University of Nottingham and the Donkey Sanctuary, are published in the journal Parasites and Vectors.

Equine besnoitiosis is a disease that occurs in donkeys, horses, zebras and mules. Donkeys with besnoitiosis develop multiple parasitic cysts on the skin, over the nostrils, ears and face.

One of the most unique features of besnoitiosis is the development of tiny cysts on the surface of the eye. Some infected animals remain otherwise healthy, while others become thin and debilitated as a result of the disease.

Previously, the parasitic disease was a rarely detected condition in most countries, including in the US, Spain, Belgium, and Italy. Although the clinical signs associated with besnoitiosis were not seen in the UK cases, this study has important clinical relevance.

Besnoitiosis was initially discovered UK in 2013, when a donkey at the Donkey Sanctuary was presented with skin lumps that were presumed to be sarcoid tumours. Microscopic examination of the affected skin tissue of the donkey revealed the presence of cysts similar to those caused by a protozoan parasite known as Besnoitia bennetti, alongside the finding of tissue changes associated with a sarcoid.

A donkey with the characteristic lesions on the eye caused by this parasitic infection

This case triggered a collaboration between a team of clinicians from the Donkey Sanctuary and a veterinary parasitologist from the School of Veterinary Medicine and Science at the University of Nottingham, of this emerging parasitic infection. Since then upwards of 20 clinical cases have been identified and studied.

Dr Rebekah Sullivan, co-author of the report and a vet at the Donkey Sanctuary, said: “Given the relative proximity to other European countries, where clinical besnoitiosis is apparent, our findings will inform British vets of the potential for this emerging disease so that they can better recognise the pattern of clinical signs during clinical examination.”

It is absolutely essential – particularly now – that vets in the UK learn more about besnoitiosis, so they can identify and protect donkeys potentially at risk. Knowledge obtained in this study should improve our response to this emerging parasitic disease in donkeys in the UK, especially with the few treatment options and the unknown routes of transmission.”
Dr Hany Elsheikha, lead author of the study and Associate Professor of Parasitology at the University of Nottingham
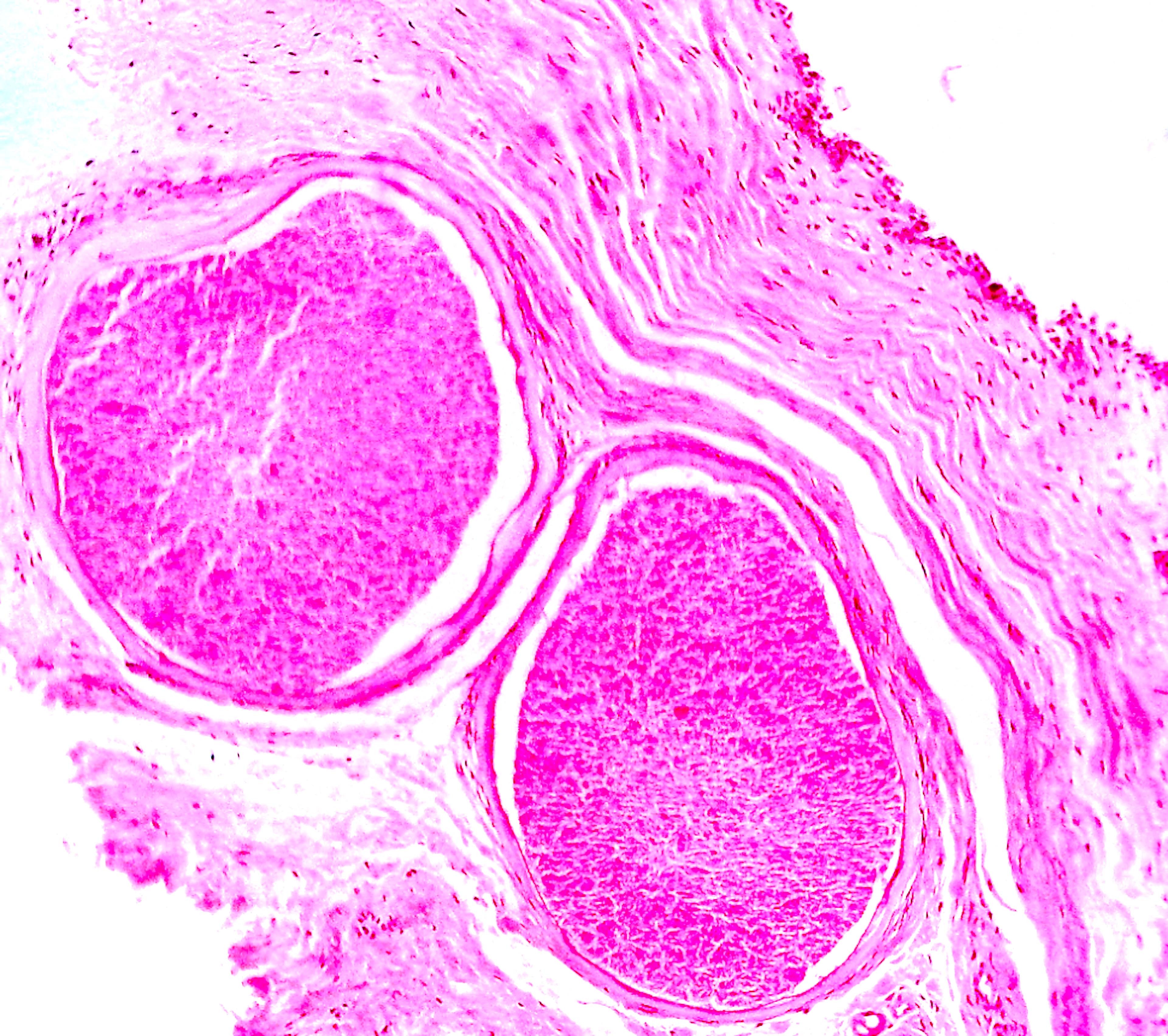
This microscopic view shows the characteristic cystic structures of the parasite Besnoitia bennetti embedded within the skin of the donkeys

Several serological methods and screening strategies have been developed to help guide veterinarians to earlier diagnosis and treatment of the disease.

Gereon Schares from the Friedrich-Loeffler-Institut, Federal Research Institute for Animal Health, Germany, and co-author of the report,  said: “This study is particularly important because by using a suite of molecular methods we were able to confirm for the first time in Europe that the parasite agent involved in these cases is specifically Besnoitia bennetti and infection can be shown by serological methods.”

The correct identification of Besnoitia cysts in skin biopsies taken from UK donkeys does have clinical advantage for veterinarians providing a more accurate prognoses where a skin mass has been identified.

“It can no longer be assumed that skin masses are either neoplastic in origin or inflammatory, such as eosinophilic granulomas, for example,” said George Paraschou, co-author and pathologist at the Donkey Sanctuary.

A full copy of the study can be found here.

Story credits

More information is available from Dr Hany Elsheikha from the School of Veterinary Medicine & Science at the University of Nottingham, at hany.elsheikha@nottingham.ac.uk

CharlotteAnscombe
Charlotte Wall - Media Relations Manager - Faculty of Medicine and Health Sciences
Email: charlotte.wall@nottingham.ac.uk
Phone: 0115 748 4417
Location:

Notes to editors:

About the University of Nottingham

Ranked 97 in the world and 17th in the UK by the QS World University Rankings, the University of Nottingham is a founding member of Russell Group of research-intensive universities. Studying at the University of Nottingham is a life-changing experience, and we pride ourselves on unlocking the potential of our students. We have a pioneering spirit, expressed in the vision of our founder Sir Jesse Boot, which has seen us lead the way in establishing campuses in China and Malaysia - part of a globally connected network of education, research and industrial engagement.

Nottingham was crowned Sports University of the Year by The Times and Sunday Times Good University Guide 2024 – the third time it has been given the honour since 2018 – and by the Daily Mail University Guide 2024.

The university is among the best universities in the UK for the strength of our research, positioned seventh for research power in the UK according to REF 2021. The birthplace of discoveries such as MRI and ibuprofen, our innovations transform lives and tackle global problems such as sustainable food supplies, ending modern slavery, developing greener transport, and reducing reliance on fossil fuels.

The university is a major employer and industry partner - locally and globally - and our graduates are the third most targeted by the UK's top employers, according to The Graduate Market in 2024 report by High Fliers Research.

We lead the Universities for Nottingham initiative, in partnership with Nottingham Trent University, a pioneering collaboration between the city’s two world-class institutions to improve levels of prosperity, opportunity, sustainability, health and wellbeing for residents in the city and region we are proud to call home.

More news…

Media Relations - External Relations

The University of Nottingham
YANG Fujia Building
Jubilee Campus
Wollaton Road
Nottingham, NG8 1BB

telephone: +44 (0) 115 951 5798
email: pressoffice@nottingham.ac.uk