article

Scientists edge closer to treatment for myotonic dystrophy

Thursday, 30 April 2020

Scientists at the University of Nottingham have taken a step closer towards developing a treatment for the long-term genetic disorder, myotonic dystrophy.

In a paper published today in the journal Science Translational Medicine, scientists from the Schools of Life Sciences and Chemistry at the University, have discovered that by inhibiting a molecule in  patients’ cells called CDK12, they can potentially develop a therapy to alleviate some of the symptoms, and help treat this incurable condition.

Myotonic dystrophy is a long-term genetic disorder that affects muscle function. It is the most common form of muscular dystrophy in adults and affects about one in 8,000 people. There is currently no treatment available.

Symptoms include gradually worsening muscle loss and weakness. Muscles often contract and are very slow to relax. Other symptoms may include cataracts, intellectual disability and heart conduction problems.

Some patients have a very mild form and others have severe form, where they are congenitally affected from birth.

This is due to the molecular underpinning of the condition, which is caused by a dynamic mutation; a triplet repeat expansion, in which three base pairs of DNA are present in different copy numbers. In the general population people have 5-30 copies of this DNA sequence.

In patients with myotonic dystrophy– this particular segment of DNA becomes bigger than it is in the general population, often with hundreds of copies of the triplet repeat.

The faulty gene produces a faulty RNA which contains the expansion sequence, (RNA is a macromolecule essential for all known forms of life which transfers information from DNA in the nucleus to the cytoplasm of a cell where it makes proteins). The faulty RNA gets stuck in the nuclei of myotonic dystrophy patients’ cells, resulting in disruption to many cellular processes.

In this new study, scientists have discovered that through the inhibition of the molecule CDK12 – the additional faulty RNA disappears, and so reduces the symptoms of the condition.

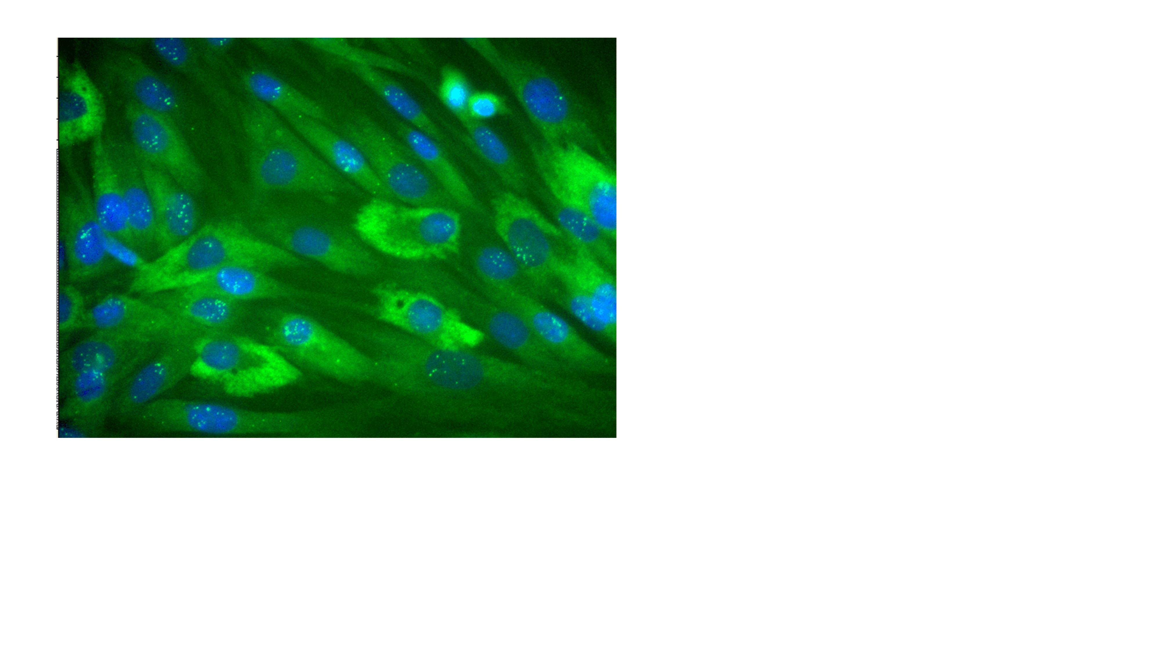
Images show DM1 cells untreated:

David Brook, Professor of Human Molecular Genetics in the School of Life Sciences, is the lead researcher on the study, He said: “Through our research we now understand a key molecular component in the pathway of the condition and that’s a target for us to try to inhibit this particular CDK12 protein which will then have beneficial effects in terms of developing a treatment.

“Transcription is the process by which RNA is made from DNA and this can require CDK12. When the repeat sequence is transcribed, it makes the faulty expansion RNA – but we think that the myotonic dystrophy patients’ cells struggle to make the faulty RNA and they increase their levels of CDK12 to keep ploughing through the expansion sequence and make more of this RNA because the cell doesn’t know this is toxic.

“What we’ve found is that our inhibitors affect the function of CDK12 and so prevent the transcription of the faulty RNA which offers a possible route to a treatment of the condition.

Images show DM1 cells treated:

We are now at the stage where we know if we can inhibit CDK12 selectively – then it’s going to be a potential therapy – and now we are trying to work out how to do that.”
Professor David Brook

Story credits

More information is available from Professor David Brook  from the School Life Sciences at the University of Nottingham, at david.brook@nottingham.ac.uk

CharlotteAnscombe
Charlotte Wall - Media Relations Manager - Faculty of Medicine and Health Sciences
Email: charlotte.wall@nottingham.ac.uk
Phone: 0115 748 4417
Location:

Notes to editors:

About the University of Nottingham

Ranked 97 in the world and 17th in the UK by the QS World University Rankings, the University of Nottingham is a founding member of Russell Group of research-intensive universities. Studying at the University of Nottingham is a life-changing experience, and we pride ourselves on unlocking the potential of our students. We have a pioneering spirit, expressed in the vision of our founder Sir Jesse Boot, which has seen us lead the way in establishing campuses in China and Malaysia - part of a globally connected network of education, research and industrial engagement.

Nottingham was crowned Sports University of the Year by The Times and Sunday Times Good University Guide 2024 – the third time it has been given the honour since 2018 – and by the Daily Mail University Guide 2024.

The university is among the best universities in the UK for the strength of our research, positioned seventh for research power in the UK according to REF 2021. The birthplace of discoveries such as MRI and ibuprofen, our innovations transform lives and tackle global problems such as sustainable food supplies, ending modern slavery, developing greener transport, and reducing reliance on fossil fuels.

The university is a major employer and industry partner - locally and globally - and our graduates are the third most targeted by the UK's top employers, according to The Graduate Market in 2024 report by High Fliers Research.

We lead the Universities for Nottingham initiative, in partnership with Nottingham Trent University, a pioneering collaboration between the city’s two world-class institutions to improve levels of prosperity, opportunity, sustainability, health and wellbeing for residents in the city and region we are proud to call home.

More news…

Media Relations - External Relations

The University of Nottingham
YANG Fujia Building
Jubilee Campus
Wollaton Road
Nottingham, NG8 1BB

telephone: +44 (0) 115 951 5798
email: pressoffice@nottingham.ac.uk