article

a woman entering an MRI machine

UK’s most powerful MRI scanner gets the green light

Monday, 29 April 2024

The University of Nottingham has announced that they have selected the suppliers they will work with to design and build the UK’s most powerful magnetic resonance imaging (MRI) scanner, that will give researchers and doctors unprecedented insights into brain function and the mechanisms of human disease.

Tesla Engineering Ltd and Philips UK and Ireland have been selected to construct the elements of the bespoke ultra-high field MRI scanner that will be at the heart of the UKRI-funded national scanning facility at the University of Nottingham’s Sir Peter Mansfield Imaging Centre.

Tesla Engineering will build an 11.7 magnet and gradient coils with an inner bore that is large enough to allow imaging of the human body. The Earth’s field is around fifty millionths of a Tesla and current clinical scanners operate at fields of 1.5 or 3T: to reach a field of 11.7T, Tesla Engineering will use new technology that maintains the magnet wiring at a temperature of -271 degrees celsius, just 2.5 degrees above absolute zero. This low temperature allows large enough currents to be passed through the wires in the magnet to produce a field that is more than 200,000 times larger than the earth’s field.

As a leading health technology innovator, Philips will develop the advanced scanner hardware that will efficiently excite and measure the 500 MHz magnetic resonance signals that hydrogen nuclei produce at 11.7T. The scanner hardware will exploit new advances in machine learning to optimally produce detailed images from these signals.

The advanced capabilities of the new scanner will underpin a broad range of clinical and neuroscience-focused research programmes in the UK. It will be more than 1000 times more powerful than the first scanners developed by the late Sir Peter Mansfield and will help transform understanding of neurodegenerative diseases such as Alzheimer’s, Parkinson’s and Huntington’s and neurodevelopmental disorders including autism and schizophrenia.

Ultra-high field MRI offers huge benefits in terms of improved sensitivity which will enable higher spatial resolution imaging, faster imaging, and greater sensitivity to physiological changes. The scanner will also provide a step change in the capabilities of magnetic resonance spectroscopy (MRS) to provide information about the biochemistry of the human body.

The new insights into brain structure and function provided by the facility will be of immediate benefit to researchers in basic and clinical neuroscience. Previously inaccessible measures of metabolism and organ function in health and disease will be of value across the biomedical community, including the life science and healthcare industries and the NHS. Engineers, physicists, and computer scientists will also be engaged in the development of new ultra-high field technology.

Professor Richard Bowtell, Head of the Sir Peter Mansfield Imaging Centre
We are delighted to be working with Philips and Tesla Engineering to develop the new ultra-high field MRI scanner. We have successfully worked with both companies before and are confident they have the technical expertise and knowledge to deliver this powerful and complex machine. The 11.7T scanner will be a huge step forward in technology and we are very proud that this remarkable scanner will be housed in the Sir Peter Mansfield Imaging Centre, on the campus where Sir Peter’ breakthrough in developing MRI was made.
Professor Richard Bowtell, Head of the Sir Peter Mansfield Imaging Centre

Mark Leftwich, Managing Director of Philips UK and Ireland, said: “The future of health has never been more promising, with more opportunities than ever before to create and embrace innovative technology that can help to reimagine the way we deliver care. That’s why we’re incredibly proud to announce this collaboration today with long-term partners University of Nottingham and Tesla. Through this venture together we’re setting out to significantly advance imaging capabilities in the UK, shifting the potential of MRI technology from purely anatomical imaging to identifying advanced biomarkers for the study of disease.”

Tesla Engineering added: “We are delighted to be selected to supply the magnet and gradient coil for this important UK research project, and to be working with World class partners.”

The new national scanning facility is being funded through the UKRI Infrastructure Fund. The UKRI Infrastructure Fund supports the facilities, equipment and resources that are essential for researchers and innovators to do ground-breaking work and will help to create a long-term pipeline of research and innovation infrastructure investment priorities for the next 10 to 20 years.

The Infrastructure Fund spans the complete disciplinary spectrum and funds infrastructures located across the UK’s regions and nations, and those which form part of major international collaborations.

Through its advanced capabilities the new scanner will provide a step change for UK biomedical imaging, helping to improve the treatment of a wide range of conditions and facilitating collaboration across disciplines and sectors. It demonstrates how UKRI infrastructure investments are ensuring that the UK has the necessary cutting-edge equipment to be world-leading in bioimaging research and innovation, and the benefits of investments such as this to all of society.
Adam Staines, UKRI Infrastructure Portfolio Director
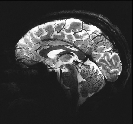
One of the first 11.7T images of the human brain recently acquired on a similar scanner at Neurospin in Paris. It has an in-plane resolution of just 200 microns.

Story credits

More information is available from Professor Richard Bowtell on Richard.Bowtell@nottingham.ac.uk

janeicke
Jane Icke - Media Relations Manager Science
Email: jane.icke@nottingham.ac.uk
Phone: 0115 7486462
Location:

Notes to editors:

About the University of Nottingham

Ranked 97 in the world and 17th in the UK by the QS World University Rankings, the University of Nottingham is a founding member of Russell Group of research-intensive universities. Studying at the University of Nottingham is a life-changing experience, and we pride ourselves on unlocking the potential of our students. We have a pioneering spirit, expressed in the vision of our founder Sir Jesse Boot, which has seen us lead the way in establishing campuses in China and Malaysia - part of a globally connected network of education, research and industrial engagement.

Nottingham was crowned Sports University of the Year by The Times and Sunday Times Good University Guide 2024 – the third time it has been given the honour since 2018 – and by the Daily Mail University Guide 2024.

The university is among the best universities in the UK for the strength of our research, positioned seventh for research power in the UK according to REF 2021. The birthplace of discoveries such as MRI and ibuprofen, our innovations transform lives and tackle global problems such as sustainable food supplies, ending modern slavery, developing greener transport, and reducing reliance on fossil fuels.

The university is a major employer and industry partner - locally and globally - and our graduates are the third most targeted by the UK's top employers, according to The Graduate Market in 2024 report by High Fliers Research.

We lead the Universities for Nottingham initiative, in partnership with Nottingham Trent University, a pioneering collaboration between the city’s two world-class institutions to improve levels of prosperity, opportunity, sustainability, health and wellbeing for residents in the city and region we are proud to call home.

More news…

Media Relations - External Relations

The University of Nottingham
YANG Fujia Building
Jubilee Campus
Wollaton Road
Nottingham, NG8 1BB

telephone: +44 (0) 115 951 5798
email: pressoffice@nottingham.ac.uk